Категории каталога
Каталог / Это интересно / Планетарный масштаб / Одинокие каннибалы берегут собратьев от вымирания

Одинокие каннибалы берегут собратьев от вымирания

Предположим, некий хищник съедает жертву — особь другого вида. Из-за этого он, в принципе, может подхватить какие-нибудь болезни той самой особи. Но может и не подхватить — на это могут влиять разные факторы, в том числе и специфичность заразы по отношению к виду.

Но если хищник съедает жертву своего вида, у которой есть какое-нибудь инфекционное заболевание, то вероятность заразиться оказывается довольно высокой. С этим, на первый взгляд, всё ясно. Однако дело в том, что каннибализм обычно не приводит ни к эпидемиям у таких существ, ни — тем более — к вымиранию подобных видов.

Самка (слева) и самец (справа) богомола. Для последнего эта встреча скоро окажется не совсем радостной. Но всё же эпидемии, передающиеся «каннибальским путём», этому виду не грозят — как-никак трапеза произойдёт только наедине, в крайне интимной обстановке (фото с сайта mostlyglass.com).

Самка (слева) и самец (справа) богомола. Для последнего эта встреча скоро окажется не совсем радостной. Но всё же эпидемии, передающиеся «каннибальским путём», этому виду не грозят — как-никак трапеза произойдёт только наедине, в крайне интимной обстановке (фото с сайта mostlyglass.com).
Более того, по свидетельству Фолкера Рудольфа (Volker H. W. Rudolf), эколога из университета Вирджинии (University of Virginia), каннибализм в природе вовсе не редок.

«Раньше в науке существовали представления о том, что каннибализм можно пронаблюдать только в условиях эксперимента либо в экстремальных условиях. Но это не так», — говорит Рудольф.

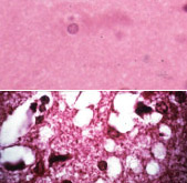
Срезы тканей человеческого головного мозга. Вверху — здорового, внизу — поражённого при куру — заболевании гвинейских каннибалов (фото Kunihiko Kobayashi, University of Iowa).

Срезы тканей человеческого головного мозга. Вверху — здорового, внизу — поражённого при куру — заболевании гвинейских каннибалов (фото Kunihiko Kobayashi, University of Iowa).
А чтобы придать этому тезису ещё больше веса, учёный добавляет, что каннибализм практиковался даже в ранних человеческих сообществах. При этом он как бы намекает, что мы, вот, живы, и человечество так и не вымерло из-за чьей-то доисторической кровожадности.

Рудольф вместе с Янисом Антоновичем (Janis Antonovics), своим коллегой из того же университета, захотел прояснить ситуацию и узнать, в чём же причина такой «стерильности» каннибализма. Можно было бы сделать вывод о том, что болезней, передающихся при пожирании себе подобных, вообще не бывает, но это неверно.

Взаимное поедание практикуют не только млекопитающие, но и более простые создания (вплоть до насекомых). Однако известна всего пара заболеваний, которые непосредственно связаны с подобным вариантом питания.

«Сатурн пожирает своих детей» (Франциско Гойя, 1819-1823 годы). Съел «по правилам» — в одиночку. Но без последствий это для него всё же не прошло (иллюстрация с сайта en.wikipedia.org).

«Сатурн пожирает своих детей» (Франциско Гойя, 1819-1823 годы). Съел «по правилам» — в одиночку. Но без последствий это для него всё же не прошло (иллюстрация с сайта en.wikipedia.org).
Один пример — это саркоспоридоз — заболевание, вызываемое простейшими (Protozoa), паразитирующими в мышцах животных. Оно распространяется, в частности, при каннибализме у некоторых ящериц, съедающих хвосты представителей своего же вида.

Второй пример более актуален — это заболевание куру, встречающееся у людей — жителей Новой Гвинеи. Причина болезни — ритуальный каннибализм. Действующий агент — прион — белок, вызывающий тяжёлые заболевания нервной системы. К прионам, кстати, относится и белок, вызывающий коровье бешенство.

Считается, что ритуальное людоедство в Новой Гвинее уже искоренили, но болезнь эта ещё не побеждена. Помимо очевидной причины дело ещё и в большом инкубационном периоде заболевания, достигающем двух с лишним десятков лет. Но всё же заболеваемость уже не та, как в 1960-х годах, когда в одном из районов страны просто бушевала эпидемия куру.

Для своего исследования учёные сопоставили модель распространения заболевания в популяции с моделью динамики численности хищников-каннибалов и их жертв. В ходе вычислений (результаты которых представлены в статье в журнале Proceedings of the Royal Society B) Рудольф и Антонович смогли найти оптимальную «стратегию», которая была бы безопасной для животных, пожирающих собственных сородичей.

Оказалось, что никаких эпидемий не будет при простом условии: если только один каннибал съедает жертву. Соответственно, если еда оказывается опасной, то заражается только один член популяции. Но ситуация может выйти из-под контроля, если в трапезе участвует множество особей.

Редкий случай группового каннибализма: кузнечики <i>Anabrus simplex</i> втроём поедают своего друга. Видимо, это был не самый лучший их друг (фото с сайта en.wikipedia.org).

Редкий случай группового каннибализма: кузнечики Anabrus simplex втроём поедают своего друга. Видимо, это был не самый лучший их друг (фото с сайта en.wikipedia.org).
Впрочем, Рудольф замечает, что групповой каннибализм редок. «Единственный образец, кроме человека, это шимпанзе, которые могут стаей атаковать и съесть других шимпанзе, — говорит учёный. — Каннибализм част в природе, но обычно он происходит «один на один».

Именно такой «режим питания» предотвращает вспышки эпидемий. Но и те случаи, когда групповой каннибализм всё-таки происходит, тоже интересуют Фолкера Рудольфа: в будущем он планирует заняться изучением влияния каннибализма на динамику таких популяций.

Сальвадор Дали. «Осенний каннибализм» (1936-1937 годы). Если каннибализм, то, значит, перед нами пара представителей одного и того же вида. Какого именно — гений сюрреализма уточнить забыл (иллюстрация с сайта duke.edu).

Сальвадор Дали. «Осенний каннибализм» (1936-1937 годы). Если каннибализм, то, значит, перед нами пара представителей одного и того же вида. Какого именно — гений сюрреализма уточнить забыл (иллюстрация с сайта duke.edu).
А тем временем из университета Райса (Rice University) — от эколога Нэта Холланда (Nat Holland) — поступил несколько неожиданный комментарий к исследованию.

«Это удивительная работа. Она также затрагивает вопрос о том, могут ли заболевания, передающиеся половым путём, быть связанными с масштабами оргии. Это ведь тоже социальные болезни», — полагает Холлэнд. Да уж, такое оно непредсказуемое — научное мышление…

Материал предоставлен: membrana

Реклама:
Где заказать рерайтинг текстов узнай на сайте eTXT.ru